广州喝茶工作室,同城空降服务同城附近喝茶网 ,qq官方月抛群入口,全国伴游大圈招聘全球高端私人定制社交平台

首页>要闻 要闻

南京:女孩脑中有一条活的猪肉绦虫 手术取出还在动

2014年08月24日 11:01 | 来源:扬子晚报
分享到: 

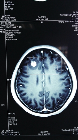
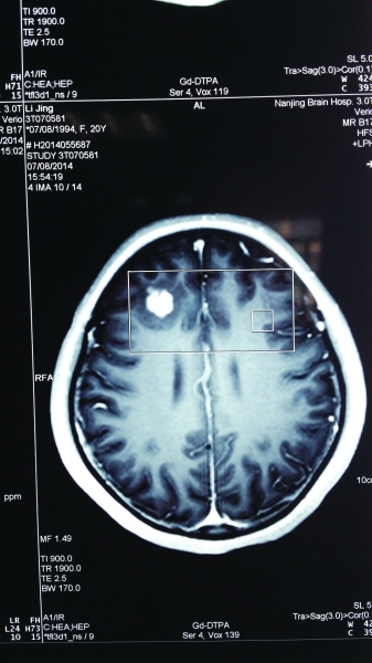
CT扫描显示,小静脑中高亮处疑是寄生虫。

CT扫描显示,小静脑中高亮处疑是寄生虫。

 

  来自淮安的20岁的女大学生小静(化名),因晕倒、抽搐等症状入院,起初都被当做癫痫治疗。南京脑科医院的专家,怀疑是寄生虫入脑,在手术当中,医生取出了一个3厘米长的白色虫子,放在托盘上的虫子还在动!据介绍,这是猪肉绦虫幼虫,怀疑小静是吃到了被污染的食物造成的感染。专家表示,预防寄生虫病,关键还是要注意饮食卫生和个人卫生,饭前便后要洗手;不食生的或半生的肉品,生熟砧板分开。

编辑:曾珂

01 02

关键词:猪肉绦虫 女孩脑中有一条活的猪肉绦虫

更多

更多