广州喝茶工作室,同城空降服务同城附近喝茶网 ,qq官方月抛群入口,全国伴游大圈招聘全球高端私人定制社交平台

首页>寻医·问药>医讯同期声医讯同期声

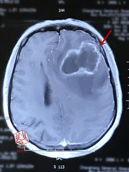
女子收养流浪猫狗感染细菌 引脑脓肿抽60毫升脓液

2017年11月09日 13:05 | 来源:楚天都市报
分享到: 

楚天都市报消息,爱心女子收养流浪猫狗,却意外感染细菌,脑里长脓包。近日,医生从孙女士的左脑里抽出60余毫升黄白色脓液。

本文图片均来自楚天都市报

独居在湖北武汉江汉区的孙女士,一直很有爱心。前年的寒冬天,她意外救回一只躲在汽车轮胎里取暖的小猫,便开始了收养流浪动物的行动。只要在外面见到饿得皮包骨的、大着肚子要生的流浪猫狗,她都会往家里抱。陆续养了一屋,近20只。11月初,原本有些低烧的孙女士在家休息时,莫名突发了一次癫痫,四肢抽搐,翻白眼,刚好被父亲撞见,并将她送到附近医院,检查出在其左脑额叶部位有一个约1公分大小的病灶。想着扛扛或许能好,孙女士执意回了家。哪知5天后,又再次发病,孙女士抽得神志不清,一天都没有吃饭。第二天被家人发现才送到医院抢救。

经急诊检查,该院神经外科专家王焕明发现,孙女士的病灶是化脓性细菌感染引起的脑脓肿,可能由于其长期亲密接触猫狗,造成身体其他部位感染细菌,引发低烧,细菌栓子又从动脉血流播散到脑内,引起脑内发炎、化脓。由于未及时治疗且反复接触感染源,孙女士的脓包已扩大了7倍,并压迫脑神经频繁异常放电,影响右侧手脚活动及语言功能,必须手术予以清除。

抽出来的脓液。

11月6日,在神经导航下,王焕明精准定位脓肿,仅开了一个小孔植入导管,便将孙女士脑内的黄白色的脓液排除,抽吸了满满三个注射器,约60余毫升。术后,她还需接受至少一个月的消炎治疗,才能让脓壁闭合吸收。

一般脑内化脓多是由耳、鼻部炎症感染引起的,但像孙女士这样接触动物细菌通过血液感染的也不少见,王焕明提醒,收留和接触动物,比如流浪的小猫、小狗等,一定要做好消毒工作,定期注射疫苗,减少过于亲密的接触,一旦感觉低烧等不适,可能是感染细菌的征兆,最好尽快到医院检查,对症治疗。

编辑:赵彦

关键词:女子收养流浪猫狗 感染细菌 脑脓肿

更多

更多