首页>寻医·问药>医讯同期声医讯同期声
钢针刺入心脏后断成两截 14岁留守女孩手术顺利

4月15日,经过十多天紧急救治之后,武定县的14岁留守女童小甜(化名)终于出院回家。10多天前,一枚钢针刺入小甜的心脏后,还断成了两截,小甜生命垂?!?/p>
钢针别在胸前 游戏时不幸刺入
3月30日下午,小甜帮家里放羊时,偶然拾到一枚钢针。她把钢针别在了胸前,想等回家后送给外婆,随后并未太留意,就和小伙伴们嬉闹游戏。在和表姐游戏时,表姐将她背在背上,这时,胸前的钢针顺势刺入了胸口,一阵钻心的疼痛几乎让小甜晕厥。
小甜父母平时在外务工,她由外公外婆照管,事发当天外公赶紧将她送往卫生院。经过检查后,卫生院认为病情严重,只能转往武定县医院救治。到达武定县医院时,钢针几乎已完全没入胸腔,县医院受医疗设备限制,不具备手术取出钢针的条件,只能再次将小甜转往云南圣约翰医院。
3月31日凌晨,救护车带着小甜,一路往昆明急驰。

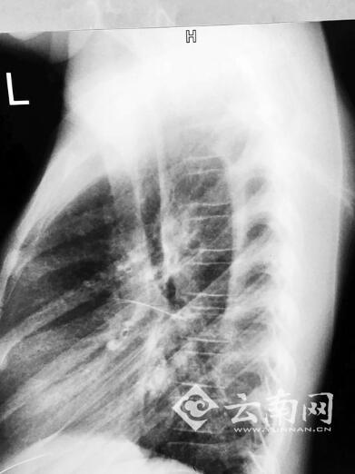
针头刺入右心房 积压大量淤血
小甜来到圣约翰医院时已是3月31日凌晨3时,这时小甜已经出现呕吐、神志模糊等症状,情况万分危急。
经过急救科详细诊断,可以确诊钢针从胸腔剑突下向上斜刺入小甜心房。更为严重的是钢针已经断成两截,针头部分直刺入右心房,针尾一截留在皮肤与胸膜间。专家分析后认为,是心脏巨大的收缩和扩张力量,硬生生将钢针折断。
经过专家会诊后,决定先由胸外科将胸膜里的针尾取出,再由心外科组织手术将刺入右心房的针头取出。
据心外科主任庞中一介绍,当时情况非常危急,因为针头刺破部分心血管,小甜心房内已经积压大量淤血,随时可能因“心房填塞”而猝死。
生死时速,小甜的情况已刻不容缓,但陪同而来的外公为了救小甜,已经拿出家里所有的积蓄不到两千元,在武定时已经花费了几百元,根本不够手术费用。
术前准备已经完成,看着一筹莫展、几乎绝望的小甜外公,庞中一与钱护士长经过商量后,决定为小甜开启救助绿色通道,先施行救治手术,然后再补齐费用。
小甜营养不良 医生护士为她买鸡汤
手术由庞中一主任亲自主刀,经过一个小时的救治,刺入小甜心房的针头被顺利取出,积压心房的淤血全部清理干净。
“小甜虽然已14岁,但长期的营养不良导致身材矮小,发育仅似10岁左右,术后康复需要补充大量营养,但爷孙二人经济情况不好,每顿只能吃米饭和咸菜?!毙耐饪魄な砍に?,科室里医生护士无不为之心酸,每天都轮番请爷孙俩吃饭,为了孩子的营养,大家还经常买鸡汤送给小甜。
小甜在大家的悉心照顾下康复得很快,于4月15日出院。小甜告诉钱护士长,打小至今,住院的这十几天是她吃得最好的时候,他们全家都万分感谢所有的医护人员。
因为小甜家境贫寒,父母不在身边,没有医保,入院时情况危急,为此,医院方面为她做了最大化的医疗费用减免。圣约翰医院安中建副院长还表示,医院将跟踪小甜的康复情况,持续关注她的成长。
云报全媒体记者 袁明锋
编辑:赵彦
关键词:钢针刺入心脏 断成两截 留守女孩


中国制造助力孟加拉国首条河底隧道项目
澳大利亚猪肉产业协会官员看好进博会机遇
联合国官员说叙利亚约1170万人需要人道主义援助
伊朗外长扎里夫宣布辞职
中国南极中山站迎来建站30周年
联合国特使赴也门斡旋荷台达撤军事宜
以色列前能源部长因从事间谍活动被判11年监禁
故宫博物院建院94年来首开夜场举办“灯会”
法蒂玛·马合木提
王召明
王霞
辜胜阻
聂震宁
钱学明
孟青录
郭晋云
许进
李健
覺醒法師
吕凤鼎
贺铿
金曼
黄维义
关牧村
陈华
陈景秋
秦百兰
张自立
郭松海
李兰
房兴耀
池慧
柳斌杰
曹义孙
毛新宇
詹国枢
朱永新
张晓梅
焦加良
张连起
龙墨
王名
何水法
李延生
巩汉林
李胜素
施杰
王亚非
艾克拜尔·米吉提
姚爱兴
贾宝兰
谢卫
汤素兰
黄信阳
张其成
潘鲁生
冯丹藜
艾克拜尔·米吉提
袁熙坤
毛新宇
学诚法师
宗立成
梁凤仪
施 杰
张晓梅


