首页>要闻>沸点 沸点
10岁女孩每天低头玩手机 颈椎“折”了

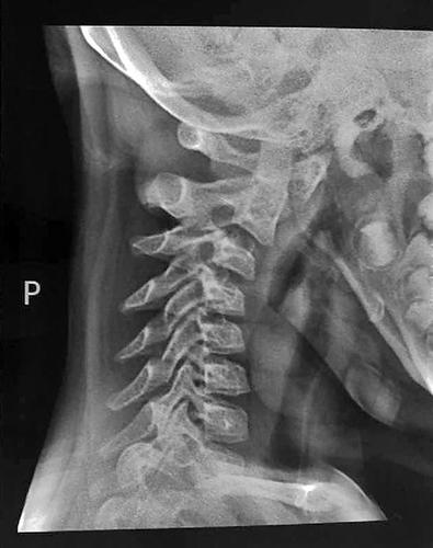
经过拍片检查,盈盈的颈椎第一、二、三椎向前错位。
台州女孩盈盈今年10岁,是家里的小公主,家人非常宠爱。
那天在家,盈盈和往常一样低着头玩手机。也不知道玩了多久,妈妈削好水果,想叫盈盈来吃,结果一叫,就出事了。
“当时我喊盈盈,她抬起头,猛地把头转过来,大概是想问我什么事。结果,就听到很响的‘咔哒’一声,盈盈就开始喊疼,哭了起来?!甭杪瓒偈被帕耍⑾峙牟弊咏┰谀潜?,一动也不能动,感觉就好像脖子“折”了一般。
到附近医院一查,医生说盈盈是“颈椎曲度反曲”,而且还有一段脱位了。经过10多天的推拿按摩等保守疗法,情况反而更严重了。妈妈只得带着女儿,向台州恩泽医院中医骨伤科主任医生应有荣求助。
“当时那个女孩的头颈向一侧扭转,稍微活动头部就直喊疼?!庇σ缴?,经过拍片检查,盈盈的颈椎第一、二、三椎向前错位,“这么严重的颈椎病发生在这么小的孩子身上,这是我从医30多年来头一回碰到。”
经过几天治疗,盈盈的病情基本恢复。跟大人一聊,应有荣问出了小女孩患上颈椎病的原因。
“她妈妈说,女儿在家时一有空就爱拿大人的手机或iPad玩,经常一玩就一两个小时,头一直低着,动也不动的,非常着迷?!庇σ缴?。
为啥老让孩子玩手机呢?妈妈也很后悔。平时夫妻俩工作忙,很少有时间陪女儿玩,“她在玩手机的时候,会特别安静,为了让她不吵我们,只要她功课做完,一般都会默许她玩手机?!?/p>
应有荣说,以前的人颈椎出现问题,多半是因为长期体力劳动压迫造成的。现在,则主要是因为低头玩手机,且患者有年轻化甚至年幼化的趋势。
“人的颈椎就好像一根弹簧,你老是低着头,它就总保持一个姿势和曲度,时间久了,弹性就越来越弱,最后就不能还原了?!庇τ腥俳馐退怠?/p>
这种病前期也是有症状的,比如孩子经常性出现头晕、头痛,上课注意力不集中,甚至出现眩晕和恶心呕吐等,有可能就是颈椎病变的前兆,家长一定要引起重视。
而成年人患了颈椎病,治疗起来相对就会困难些,恢复也没有小孩子那么快?!熬弊挡∈且恢致圆?,应早预防,主要还是靠平时养成好习惯?!?/p>
应有荣推荐了一种“反向运动法”,可以有效预防颈椎?。喝绻憔5屯?,那么尽量每隔20分钟到半小时,就把头往后侧相反方向仰几下,给脖子减减负。如果经常盯着电脑,建议每隔半小时左右转动脖子,不要一成不变地保持一个姿势太久。
编辑:曾珂
关键词:女孩玩手机 颈椎“折”了


“超级月亮”现身堪培拉
特朗普发表其执政以来的首次国情咨文演讲
保障春运
“欢乐春节”挪威首演闪耀北极光艺术节
靓丽海冰
春运路上有了“列车医生”
阿富汗官员:应抓住机遇积极参与“一带一路”建设
英国首相特雷莎·梅到访武汉大学
法蒂玛·马合木提
王召明
王霞
辜胜阻
聂震宁
钱学明
孟青录
郭晋云
许进
李健
覺醒法師
吕凤鼎
贺铿
金曼
黄维义
关牧村
陈华
陈景秋
秦百兰
张自立
郭松海
李兰
房兴耀
池慧
柳斌杰
曹义孙
毛新宇
詹国枢
朱永新
张晓梅
焦加良
张连起
龙墨
王名
何水法
李延生
巩汉林
李胜素
施杰
王亚非
艾克拜尔·米吉提
姚爱兴
贾宝兰
谢卫
汤素兰
黄信阳
张其成
潘鲁生
冯丹藜
艾克拜尔·米吉提
袁熙坤
毛新宇
学诚法师
宗立成
梁凤仪
施 杰
张晓梅


